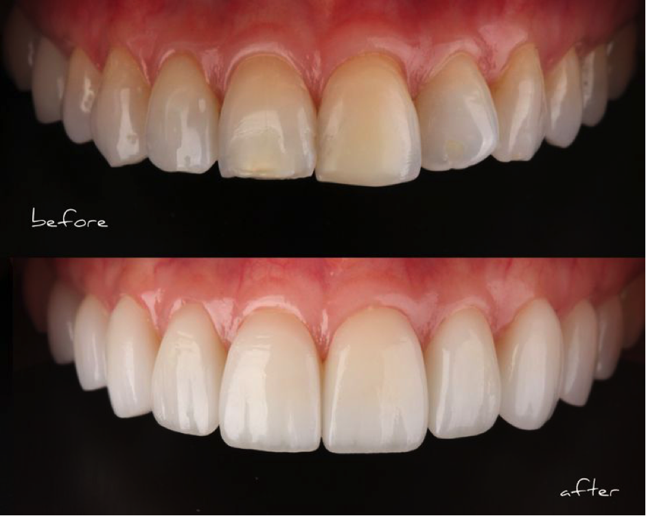
A veneer is a thin line of porcelain that is made to fit over the front surface of the tooth, like a false fingernail fits over a nail.
Jerry Wakhanu
September 28, 2018
A veneer is a thin line of porcelain that is made to fit over the front surface of the tooth, like a false fingernail fits over a nail. Composite material can be used instead of porcelain. They are set to improve the colour, position and shape of teeth.
A veneer can make a chipped tooth look whole again. A shade of porcelain can be chosen precisely to improve the colour if a single discoloured tooth or to lighten the front teeth.
A veneer takes at least two visits. First to prepare the tooth, second to fit it. Before bonding the veneer on the tooth, the dentist will show you the veneer on your tooth to make sure you are contented with it. The dentist uses a special adhesive to bond the veneer on the tooth.
Uses of veneers
Stain-resistant
Veneers are stain-resistant hence one can enjoy their coffee, tea and other beverages. Unlike natural teeth they are not easily stained.
Strength and durability
Veneers are made from strong and durable material. One can continue enjoying their favourite food without worry.
Long lasting solutions
Veneers can last up to 10-15 years with proper upkeep.
Naturally looking results.
Veneers are specially designed to match the natural tooth colour.
Quick simple procedure
Placing of porcelain veneers can be completed within two visits.
Enhances confidence
An improved smile can make one feel more confident hence enhances better quality of life.
No recovery
Once the procedure is done one can leave the clinic and carry on with their day to day activities normally. There is no requirement to recover in terms of healing after the procedure.