Bites are crucial in determining the alignment of teeth inside the mouth. Different types of bites can therefore showcase several orthodontic disorders. Misalignment however can be corrected by braces by an orthodontist.

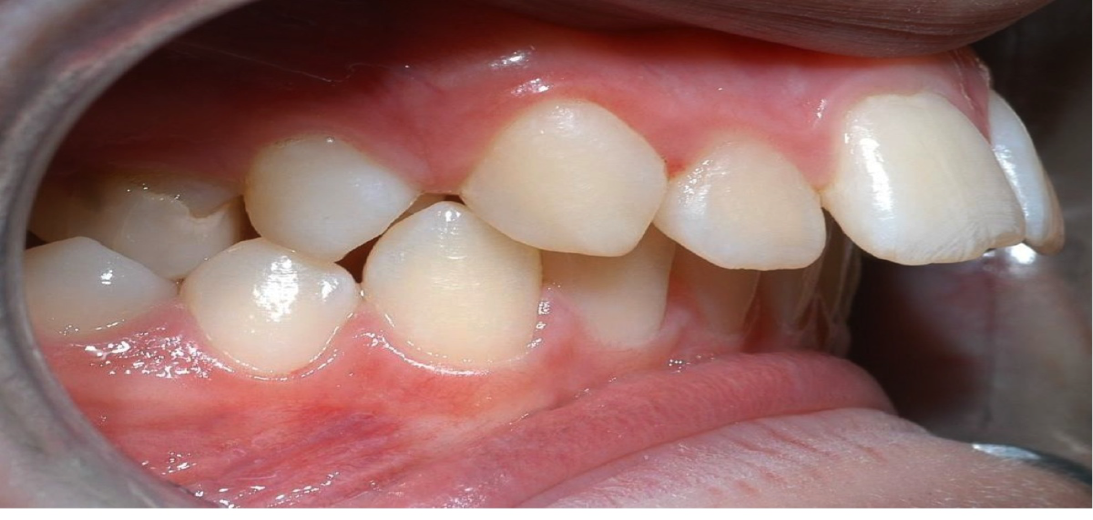
Crossbites can happen in the front or the sides of the mouth. It occurs when one or more teeth are biting down the inside of the lower ones. If not corrected it can cause improper chewing patterns, premature wear teeth and gum disease.

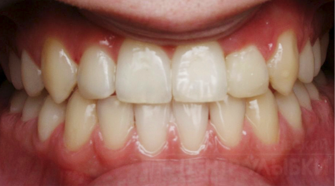
This happens when upper front teeth overlap the lower ones. The cause of this can be overdevelopment of the bone supporting the upper front teeth. The overlap is usually vertical. This can result to complications with chewing as well as premature wear of lower teeth and improper functioning of front teeth.

An underbite is caused by the lower teeth biting onto the upper front teeth. An undergrowth of the lower jaw or the upper jaw could be the cause of this issue. Other causes could be missing upper teeth.

This is where the top teeth extend past your top teeth horizontally (not to be confused with an overbite). This can cause damage as well as interfere with eating and speech.

This happens when the top teeth don’t overlap the lower teeth. Anterior open bite is an open bite affecting the front teeth.
