Q: What is a crown?

A crown can be described as an artificial cap that is cemented over an existing tooth.

dental crown

Q: When would I need to have a crown?

A: A tooth may require a crown if:

  • It has a large cavity and cannot properly hold a filling.
  • Is fractured and more than half the tooth is involved due to injury.
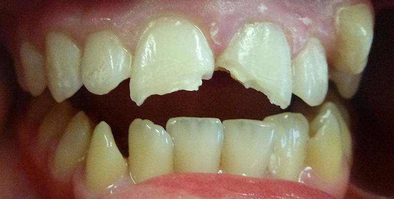
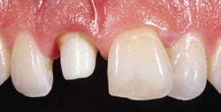
    • In both the above cases the tooth has been weakened significantly and cannot properly function without further damage and in the case of front teeth the aesthetics are compromised. Your dentist might recommend root canal treatment first especially if the cavity or fracture line is touching the nerve of the tooth such as is shown in the photo below (Also read the article on root canal treatment)
    • After root canal is performed, it may be necessary to place a post inside the root of a tooth in order to support the filling.
    • This is referred to as a post and core build-up as shown here:
    • Fiber-post placed inside the root canal space and cemented.
    • Post and Core Buildup
    • The built up tooth is then shaped, an impression of the shaped tooth is taken and sent to a dental lab to fabricate the crown.
cracked upper front tooth
Post & core buildup
fibre post
  • After undergoing root canal treatment- Most teeth that have undergone a root canal need to be crowned as well. This is because over time, root treated teeth tend to fracture due to their weakened state resulting from tooth decay or fractures. Pre-molar teeth are particularly vulnerable and should always be crowned after root canal treatment
  • In cases of discoloured or disfigured teeth for example severe fluorosis, tetracycline staining or in genetic disorders of enamel/dentine. Crowns help to restore the shape and contour of teeth as well as mask dark stains and improve the overall appearance.
discoloured or disfigured teeth

Q: How is it made?

A: The tooth requiring a prosthetic crown is first prepared by shaping it, thus reducing its dimensions. An impression of the prepared tooth is then taken and sent to a dental lab (yes that’s a lab where false teeth are fabricated). Meanwhile your dentist will in most cases fit you with a temporary crown for one week or for the duration of time it takes for the lab to deliver the crown back to the dentist. Your temporary crown is removed, the tooth cleaned and the lab-fabricated crown is cemented permanently.

Q: What is a Bridge?

A bridge has one or more crowns joined together and cemented across one or more missing teeth in order to replace them.

A 3-Unit Bridge

A 3-Unit Bridge

Q: When would I require a Bridge?

  1. 1. When missing one or two teeth, a bridge can be used to replace them. This involves shaping the teeth adjacent to the gap and using them as a support to cement the bridge (Also referred to as a fixed partial denture) Bridges have some drawbacks in that
    1. They require the dentist to shape and file teeth that are sound, hence not very conservative.
    2. They also don’t allow flossing between the bridge.
    3. They might cause the supporting teeth to weaken over time if not designed well due to overloading. It is not recommended to replace more than two adjacent teeth with a bridge to avoid this problem of overloading the supporting teeth.

Dental implants provide a better, more conservative alternative to bridges.

broken tooth

Q: What material are they made of?

A: Most common materials used to make customized crowns and bridges are non-precious metal alloys, gold and ceramics. Ceramic materials are the most commonly used and preferred because they are able to mimic the natural shade of teeth and better preserve the natural tooth.

Q: How long do Crowns and Bridges last?

A: Well- made crowns and bridges should last you upward of 10 years. As with your natural teeth, tooth decay can still affect the teeth underneath the crowns, therefore you need to look after your oral hygiene and visit your dentist regularly to ensure longevity.

Having Dental problems that need the help of a doctor? Start by Booking an Appointment or if you have a Question, you can Ask our Doctor here.