Tooth whitening is a process of removing discolorations from a tooth. It is one of the most popular cosmetic dental procedures, quick and easy to perform. It can not only transform one’s smile and make one look years younger, but also boost self-confidence. We recommend professional teeth whitening whereby a dentist is involved since it requires following standard procedures.

smoker teeth discoloration
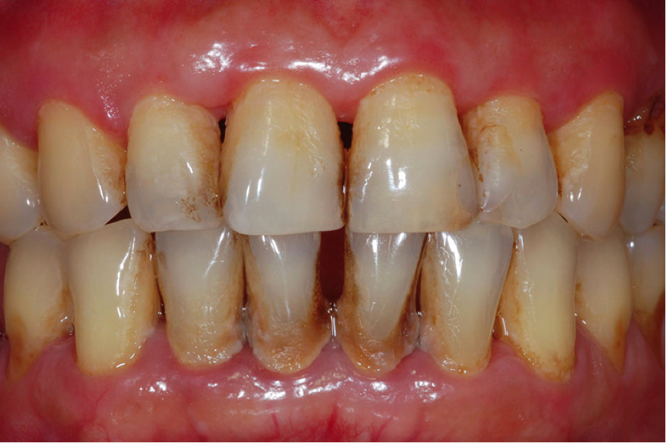
Staining of teeth caused by smoking

Causes of discoloured teeth

  1. Ageing is one cause of discoloured teeth. The natural shade of teeth ranges from light-off grey (off-white) to a slightly more yellow in tint. Overtime as one ages, teeth tend to change in colour naturally.
  2. Staining is another factor leading to discoloured teeth. Drinks like coffee, tea, wines and certain foods and vegetables can stain teeth. Poor dental hygiene like inadequate brushing, flossing and rinsing off the mouth using antiseptic mouthwash to remove plaque and stain producing substance like coffee and tobacco causes teeth discolouration.
  3. Smoking is a major contributor to staining of teeth because of nicotine. Several diseases that affect the enamel and dentine on the teeth also can cause teeth discoloration.
  4. Treatments for certain conditions like head and neck chemotherapy can cause discoloration
  5. Excess fluoride in water or toothpaste causes discoloration.
  6. Certain antibiotics are known to discolour teeth, especially when given to children before age 8.
  7. Genetics is also a contributor, since some people have a naturally brighter and thicker enamel than others.

Did Drinking Water Cause Your Teeth to Turn Brown? Read how to Correct that here

Treatment

  • Professional in-office teeth whitening procedure
professional teeth whitening

Professional in-office teeth whitening recommended from a dentist is the most effective procedure, since it’s done under monitored conditions which allow for the carefully monitored, pain-free use of highly concentrated bleaching agent that yield results that are visible immediately.

  • The use of a shade guide has a variety of different tooth shades that allows one to choose from before cosmetic dental procedure of teeth whitening.
shade guide teeth whitening theperiodontist
  • Use of teeth whitening dental trays with whitening gel
teeth whitening dental trays theperiodontist

The trays can be smeared with whitening gel then worn at home by the patient as recommended by a dentist. The gel contains hydrogen peroxide or carbamide peroxide, which are bleaching agents.

Other procedures

  • Whitening toothpastes are also effective they contain hydrogen peroxide that helps lighten colour deep into the tooth. They lighten the tooth’s colour by about one shade as compared to a dentist’s prescription that can make the teeth from three to eight times shades lighter.
  • Over-the-counter whitening strips, gels and rinses can also be used.