Having discussed the Why’s and When of Tooth Alignment (here), in this article we shall look at the options available for aligning teeth.
Your dentist will first examine you, take some impressions of your teeth and clinical photos. You will also be required to take x-rays in most cases. Once a diagnosis is made and it is determined that the malocclusion can be corrected with braces (Some types can only be corrected surgically or by use of functional appliances), you have the following options:
Used to treat a limited type of malocclusion. They cannot be used to treat complex cases and are worn at all times except while brushing teeth and in some cases while eating.
There are two major types-

a. Metallic brackets

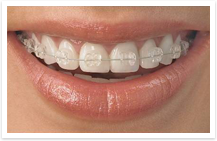
b. Ceramic brackets
Metallic brackets are the most commonly used. They are more visible than the ceramic type but less expensive and more efficient thus can take a shorter time to align teeth. Ceramic brackets are less visible but more expensive and can tend to more easily come off the teeth because they don’t bond as well to the teeth as metallic brackets do.
The duration of wear depends on the complexity of the case being treated. Your dentist will give you an estimate and give you appointments to assess the progress and change the archwires at different intervals during the course of treatment. You will also be given instructions on how to clean your teeth while wearing the braces and the kinds of foods to avoid. Conditions such as cavities, gum disease should be treated before commencing with teeth alignment.
They are virtually invisible and more comfortable than traditional braces therefore more acceptable especially to adults. Various systems are available in the market for example Invisalign, Clear Path and E-cligner. They are removable and therefore one is better able to keep their teeth clean during the duration of treatment. They can be used for both children and adults however children need to be closely supervised to ensure they wear them for the duration of time required every day and to avoid misplacing them. Clear aligners cost more than traditional braces but are gaining in popularity due to their stated advantages.

Having Dental problems that need the help of a doctor? Start by Booking an Appointment here or if you have a Question, you can Ask our Doctor here.