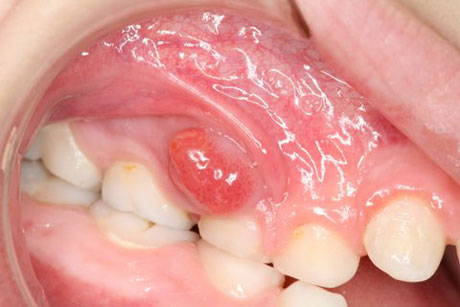
A dental abscess is a collection of pus around the tooth and its surrounding structures.
Dr. Pauline
March 8, 2018
A dental abscess is a collection of pus around the tooth and its surrounding structures.
There are two common types of dental abscesses:
Peri-radicular Abscess: This type forms around the roots of teeth. They result from bacterial invasion into the pulp of the tooth coming from a decayed tooth, an improperly completed root canal or a cracked tooth. The invading bacteria sets up a process of inflammation and eventually leads to pulp death. The dead cells and material accumulating at the base of the affected tooth form a pus-filled swelling usually accompanied by intense pain initially. The swelling may be closed of may drain through an opening in the bone. Drainage usually provides some relief of pain. The tooth may also lift slightly in the socket making it difficult to chew. The infection may spread and cause cellulitis- a swelling of part of the face. Cellulitis Treatment of this abscess depends on the cause. Besides antibiotic therapy, root canal therapy or extraction of the affected tooth should be done.
Peri-coronal Abscess: This kind of usually forms around an impacted tooth i.e. one that has not fully grown into the mouth or is partially covered by part of the gum. Most commonly affected teeth are wisdom teeth. This infection should be treated immediately because of the risk of spread to the neck area and down into the chest causing blockage to the airway (Ludwig’s Angina). This is a life-threatening hospital emergency. Treatment of the peri-coronal abscess involves antibiotic therapy and extraction of the offending tooth.
Periodontal Abscess: This forms within the crevice of the gum where a pocket has formed as a result of periodontal disease. It results from bacterial deposits called plaque and calculus accumulating along the necks and root surfaces of teeth. It may be painful if acute and not draining through the gum margin. Sometimes food packing between teeth or trauma to the gum may result in this abscess. Treatment involves cleaning out the bacterial and/or food deposits within the pocket under local anaesthesia. As a closing remark, it is important NOT TO SELF-MEDICATE when you have an abscess because of the risk of antibiotic resistance and further complicating treatment. Prevention is always better than cure. The key to preventing dental abscesses is to see you dentist regularly and maintaining good oral hygiene.